Медицинский ликбез. Фабелла коленного сустава
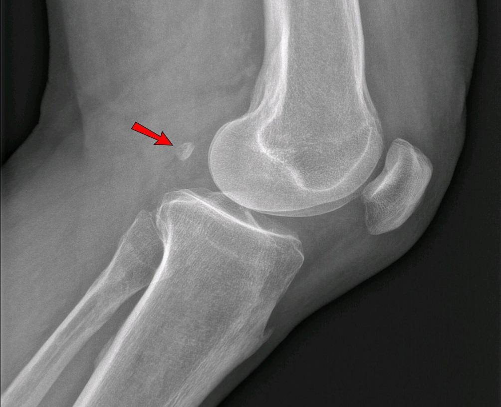
Фабелла коленного сустава, согласно анатомии, представляет собой сесамовидную кость, которая находится на внутренней стороне икроножной мышцы и крепится к заднему мыщелку бедра. Размер этой кости может варьироваться от 5 до 20 мм.
Согласно статистике, примерно 13% людей имеют фабеллу на одной ноге, а 50% — на обеих конечностях. Недавние анатомические исследования выявили значительные региональные различия в распространенности этой кости, при этом самые высокие показатели отмечаются в Азии, а самые низкие — в Африке.
Фабелла, что в переводе с латинского означает «фасолинка», представляет собой небольшую косточку, которая когда-то была частью человеческого организма, но затем в процессе эволюции исчезла. Ортопеды были очень удивлены, когда начали снова находить эту кость в человеческом теле. Сесамовидные кости имеют долгую историю, уходящую корнями в юрский период, примерно 150-200 миллионов лет назад.

Считается, что эта небольшая кость служила для уменьшения травм, поддержки коленной чашечки и повышения механической силы мышц.
Однако в процессе эволюции человека эта кость практически исчезла и стала считаться рудиментарным органом. Но с конца 19 века её появление вновь вызывает у людей проблемы.
Функции фабеллы
Предполагается, что фабелла выполняет функцию, аналогичную надколеннику, перенаправляя усилия на сторону сгибателей.
Учёные считают, что эволюция фабеллы пошла в обратном направлении из-за изменений в рационе питания современного человека. Мы потребляем высококалорийные продукты, страдаем от лишнего веса, большеберцовые кости стали длиннее, а икроножные мышцы — крупнее. В результате человек стал выше и тяжелее, что увеличило нагрузку на коленные суставы. Они стали более активными и испытывают повышенное давление. В результате сесамовидная кость под коленом стала прогрессировать, а с ней и боли.

Патологические проявления синдрома фабеллы
Постоянное ощущение боли в заднебоковой части коленного сустава, особенно при физической нагрузке, может быть симптомом синдрома фабеллы.
Боль усиливается при разгибании колена, вызывая напряжение в месте надавливания фабеллы на боковой мыщелок бедра. К менее значительным симптомам относятся «хруст» в колене, изменение походки, покраснение кожи и отек, вызванные воспалительными и дегенеративно-дистрофическими процессами, связанными с фабеллой. Однако эти признаки проявляются не всегда, главным симптомом остается боль. Симптомы могут также наблюдаться, когда фабелла остается неоссифицированной и функционирует как хрящевая структура.
Считается, что распространенность синдрома фабеллы увеличивается с возрастом. Окостенение фабеллы может начаться уже в 12 лет, но этот процесс может продолжаться до 70 лет.
Спортсмены и люди, чья жизнь связана с постоянным движением, например, танцоры и любители активного образа жизни, подвержены повышенному риску этого синдрома.
Фабелла может быть вовлечена в различные патологические состояния, такие как болевой синдром, хондромаляция, сдавление и паралич малоберцового нерва, синдром защемления подколенной артерии, вывих и перелом фабеллы.
Способность образовывать фабеллы контролируется генетически. Было обнаружено, что морфогенетический белок костей 4 (BMP4), кодируемый геном, регулирует рост сесамоидов.
Анатомические эффекты присутствия фабеллы представляют интерес для хирургов-ортопедов. В случаях общей артропластики коленного сустава фабелла может вызвать постхирургические осложнения, прорвав замещающий коленный сустав.
Фабелла была связана с несколькими расстройствами и заболеваниями, включая распространенную малоберцовую невропатию, хондромаляцию, паралич нервов, синдром защемления подколенной артерии и ревматоидный артрит.
Фабелла может вызвать медицинские проблемы из-за вывиха или перелома.
Таким образом, на сегодняшний день фабелла может служить стабилизатором заднебокового аспекта колена и не доставлять никакого дискомфорта, так и сопутствовать некоторым болезням, вызывая заднебоковую боль в колене.
Диагностика
Для подтверждения диагноза и полной оценки состояния коленного сустава проводится тщательное физическое обследование пациента, рентгенография в боковой проекции, сонография и МРТ, чтобы исключить другие возможные патологии. Синдром фабеллы должен находиться под контролем ультразвукового исследования.
Методы лечения
Фабеллярный болевой синдром первоначально следует лечить консервативно. Поскольку синдром фабеллы характеризуется, преимущественно, болевыми ощущениями и воспалительным процессом, основным способом терапии являются лекарственные препараты с анальгезирующим и противовоспалительным действием. Медикаменты назначаются строго врачом, и их самостоятельное использование не рекомендуется. Они могут быть в виде таблеток, мазей, гелей и редко — для инъекционного введения.
Если симптомы сохраняются, может быть проведено хирургическое лечение. Иссечение фабеллы — фабеллаэктомия — может быть выполнено открытым или артроскопическим методом.
Консервативное лечение включает:
физиотерапию (радиальная экстракорпоральная ударно-волновая терапия);
медикаментозное лечение (местные инъекции обезболивающих средств);
ограничение активности.
Хирургическое вмешательство
Традиционное хирургическое вмешательство при синдроме фабелла в большинстве случаев выполнялось с помощью артроскопии. Это позволяет хирургам оценить фабеллу с помощью артроскопии, минимизировать повреждение и предотвратить чрезмерную резекцию окружающих структур.
Хирургическое удаление может быть рассмотрено, если консервативное лечение не смогло облегчить состояние, артроскопическая фабеллэктомия обеспечивает меньший размер раны, меньшую послеоперационную боль, меньшее количество дней госпитализации и более быстрое время реабилитации пациентов с хронической болью в заднебоковой области колена, вызванной синдромом фабеллы.
Квалифицированную консультацию специалиста вы можете получить в ВДКБ ВГМУ им. Н.Н. Бурденко по адресу город Воронеж, переулок Здоровья, 16.
Получить более подробную информацию вы можете по номеру телефона регистратуры +7(473)265 30 01.
Источник: по материалам НИИ Педиатрии
и охраны здоровья детей Научно-клинического центра № 2 ФГБНУ
«Российский научный центр хирургии имени академика Б.В. Петровского»
Фото из свободных источников

